Sciatica Back Pain Treatment in Chennai Tamilnadu

Vetrivel Health center best chiropractic and varamam theraphy
Vetrivel Health center best chiropractic and varamam theraphy

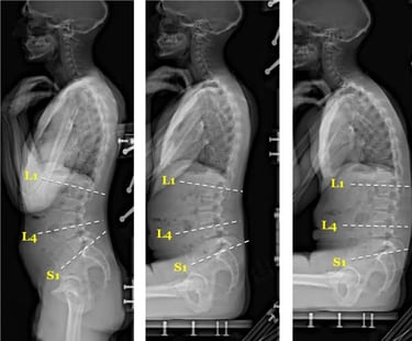
Best Chiropractic sciatica pain relief doctor in chennai tamilnadu for instant relief from sciatica back Pain, L4 L5 S1 disc buldge and degeneration problem and posture correction to solve recurring Pains.